Usually accompanied by an overbite, a deep bite bite occurs when the upper incisors cover too much of the lowe invisors. A bite plate or other device to open the bite may be used to correct the bite may be used tp correct the problem.
An underbite can be caused by misaligned teeth or uneven jaw sizes. It is important to find pit the true cause of the underbite as the solutions to correction it can range widely, from simply using the braces and wires, to rubber bands and potentially jaw surgery.
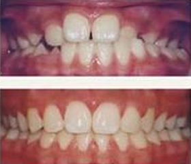
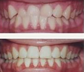
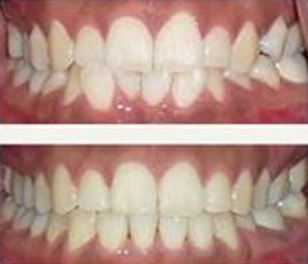
The most common orthodontic problem. It can be solved by expanding the dental arches, extracting teeth, interproximal reduction (slimming selected teeth a small amount), or a combination these methods.
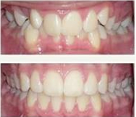
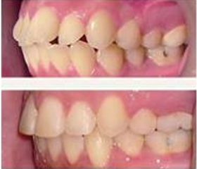
A very common situation where the upper teeth (on this patient's left side). Typically, crossbites are corrected by expanding the upper jaw, a simple procedure in children in children and early teens, a difficult one in older teens and adults. One of the best reasons to see an orthodontist early.
Any situation whre the upper and lower teeth do not meet. Open bites are usually caused by oral habits such as thumb sucking, extensive pacifier use or tongue thrusting. Can be corrected with braces, but the offending habits must be stopped, otherwise the open bite will likely return.
In some situations where there is too much tooth material for a particular set of jaws, instead of the teeth rotating and looking crowded, they'll protude forwards and push the lips forward with them. Typically, in order to upright the teeth and retract them, extractions will be necessary to create enough space.
Sometimes the teeth are just too small to fill in the entire jaw. Fortunately, this is somewhat simpler situation to correct than crowding, however, a decision must be made as to whether to retract the front teeth, or to bring the back teeth forward. The right choice will provide a much better smile and profile.
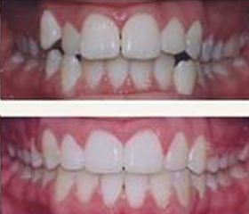
It may be hard to notice at the first glance, but the line between the upper front teeth does not match with the line between the lower front teeth. There are many causes for this. While it is ideal to correct this, it is not always 100% possible without compromising the treatment elsewhere.